Θεσσαλονίκη: Γιατροί έσωσαν παιδάκι που κατάπιε παιχνίδι

Στα Επείγοντα της Παιδιατρικής Κλινικής του Ιπποκράτειου νοσοκομείου, μετέβη τα ξημερώματα σήμερα ένα 4,5 ετών αγοράκι με τους γονείς του, καθώς είχε καταπιεί μεταλλικό πιόνι επιτραπέζιου παιχνιδιού. Οι γιατροί αφαίρεσαν το πιόνι με επιτυχία και σε λίγο το παιδί θα πάρει εξιτήριο.

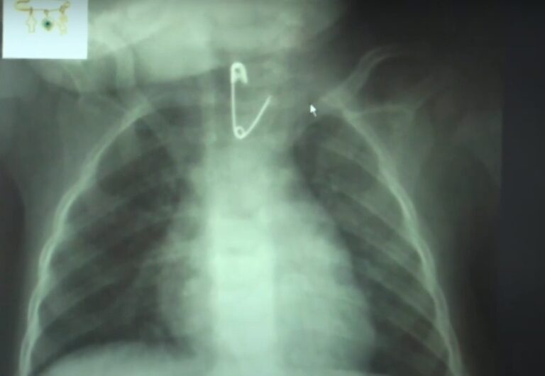
Δεν είναι όμως το μοναδικό περιστατικό. Οι γιατροί της ΩΡΛ κλινικής του Ιπποκράτειου Νοσοκομείου Θεσσαλονίκης πρόσφατα κλήθηκαν να αντιμετωπίσουν και άλλα παρόμοια περιστατικά. Όπως αυτό με εννέα μηνών βρέφος που κατάπιε παραμάνα. Σε άλλες περιπτώσεις παιδάκι κατάπιε μεταλλικό κουμπί από ρούχο ενώ ένα άλλο σκουλαρίκι. Οι επιστήμονες συμβουλεύουν τους γονείς να είναι ιδιαίτερα προσεκτικοί.

Πάντως όλα τα περιστατικά στα μικρά παιδιά αντιμετωπίστηκαν με επιτυχία και τα παιδιά είναι καλά στην υγεία τους.

Όλες οι Ειδήσεις από την Ελλάδα και τον Κόσμο,  στο ertnews.gr
Διάβασε όλες τις ειδήσεις μας στο Google
Κάνε like στη σελίδα μας στο Facebook
Ακολούθησε μας στο Twitter
Κάνε εγγραφή στο κανάλι μας στο Youtube
Γίνε μέλος στο κανάλι μας στο Viber

Προσοχή! Επιτρέπεται η αναδημοσίευση των πληροφοριών του παραπάνω άρθρου (όχι αυτολεξεί) ή μέρους αυτών μόνο αν:
– Αναφέρεται ως πηγή το ertnews.gr στο σημείο όπου γίνεται η αναφορά.
– Στο τέλος του άρθρου ως Πηγή
– Σε ένα από τα δύο σημεία να υπάρχει ενεργός σύνδεσμος